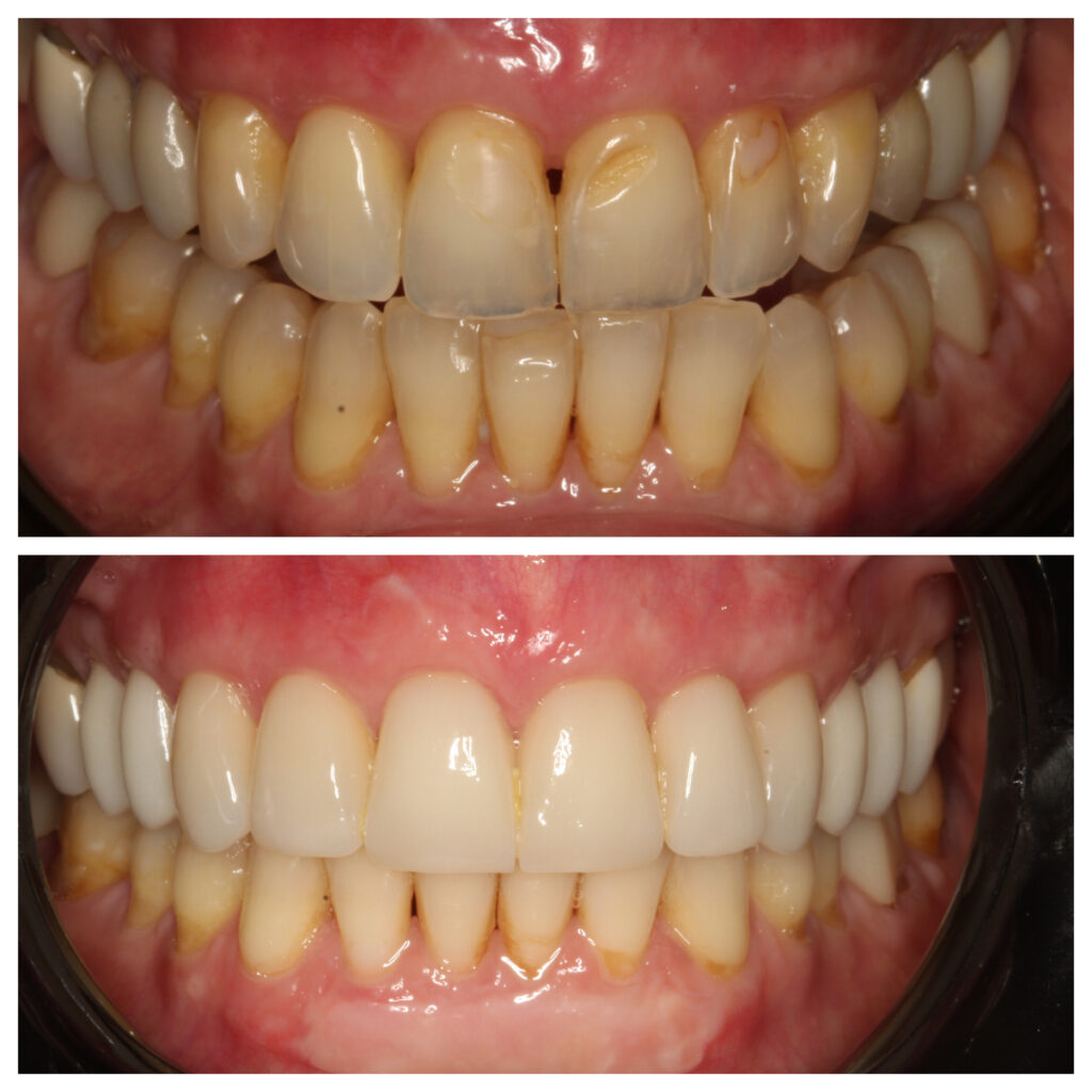
Our Gallery
Check out our gallery of the cosmetic and restorative dental care we have given to patients at Virginia Modern Dentistry. Dr. Mielad Abady wants to make sure you always leave with your best smile and that you are happy with your results! Call our dentist at (571) 605-2925 about our comprehensive dental care in Arlington, Virginia!

